Meer ruimte, meer specialisaties, snelle en kwalitatieve zorg: vanaf 19 januari zet AZ Sint-Maarten een belangrijke stap in de ambulante zorg voor patiënten in de regio. Zeven jaar na de grote verhuis speelt de uitbreiding in op de groeiende zorgvraag en versterkt ze de multidisciplinaire samenwerking binnen het ziekenhuis.
Slechts 10% van de patiënten met een gekende antibioticum-allergie is effectief allergisch. Een allergie aan antibiotica heeft belangrijke gevolgen voor de therapie van een patiënt. Deze allergieën leiden tot een verhoogd gebruik van breedspectrumantibiotica, het gebruik van minder efficiënte therapie en toegenomen antibioticaresistentie. De antibioticatherapiebeleidsgroep (ABTBG) van AZ Sint-Maarten legt uit hoe u op een veilige manier het aanmaken van onterechte labels kan vermijden en welke mogelijkheden er zijn na het optreden van een allergische reactie.
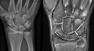
Wat zijn geavanceerde beeldvormingstechnieken bij spier- en gewrichtsklachten? De dienst medische beeldvorming licht indicaties en voordelen toe van het nieuwe MRI-toestel met pseudo-CT, echogeleide infiltraties en PedCAT.
Sinds 1 september 2025 is de dienst algemene en abdominale heelkunde van AZ Sint-Maarten uitgebreid met een vijfde chirurg: dr. Joris Jaekers. Daarmee kunnen we nu ook complexe lever-, galweg-, pancreas- en maagchirurgie aanbieden. Voor patiënten betekent dit: gespecialiseerde zorg in een vertrouwde omgeving en dicht bij huis.
Een kankerdiagnose en -behandeling is ingrijpend. Maar ook het herstel verdient zorg. In AZ Sint-Maarten kreeg het oncologische revalidatieaanbod recent een grondige update. Onder de naam ‘Move On’ evolueerde het tot een multidisciplinair en volwaardig revalidatietraject voor alle oncologische patiënten.
Meer nieuws voor doorverwijzers
Andere interessante artikels vindt u door te klikken op onderstaande knop.