Overslaan en naar de inhoud gaan

Bij patiënten met musculoskeletale klachten speelt precieze beeldvorming een sleutelrol. De dienst medische beeldvorming investeert daarom gericht in kwaliteit en innovatie, met technieken die zowel de diagnostische nauwkeurigheid als het comfort voor de patiënt verhogen. Voor doorverwijzers betekent dit niet alleen een verfijning van de diagnose maar ook een optimale toegankelijkheid tot het volledige onderzoekarsenaal voor beeldvorming van het bewegingsstelsel.

In dit artikel lees je meer over:

MRI

Kristof De Cuyper

Het nieuwste MRI-toestel biedt een aanzienlijke sprong voorwaarts in beeldkwaliteit. AZ Sint-Maarten beschikt al langer over een MRI-toestel en een brede ervaring met deze techniek. 

“Het nieuwe MRI-toestel laat toe om beelden met hogere resolutie te maken bij patiënten die zich presenteren met polsklachten en onduidelijke radiografische afwijkingen bij standaardradiografie”, geeft dr. Kristof De Cuyper aan. “Bij onverklaarde, aanhoudende polsklachten is een MRI-scan een goede techniek. Zo kan een MRI-scan ook beter onverplaatste fracturen visualiseren dan een CT-scan en dit zonder ioniserende straling.”

Filip Van Hoenacker

Pseudo-CT of CT-like images

Bovendien is het toestel ook uitgerust met “Bone Imaging”-technologie. Zo krijgt de radioloog een combinatie van MRI- en CT-beeldvorming om een gerichtere diagnose te stellen voor complexe botpathologie. Prof. dr. Filip Vanhoenacker “Het nieuwe toestel maakt gebruik van ultrakorte echotijden om dit te bekomen en staat bekend als de oZTEo-sequentie.”

beeld van fasciitis plantaris en hielspoor: links toont de sagittale T2-gewogen opname met vetonderdrukking een verdikte proximale fascia plantaris, een verhoogd T2-signaal met aanliggend wekedelen- en beenmergoedeem

Nuttige toepassingen

  • het visualiseren van calcificaties in calcifiërende tendinopathie
  • het opsporen van erosies en sclerosis (bijvoorbeeld bij inflammatoire sacroiliitis),
  • (stress)fracturen, 
  • enthesopathie
    Zie beeld van fasciitis plantaris en hielspoor: links toont de sagittale T2-gewogen opname met vetonderdrukking een verdikte proximale fascia plantaris, een verhoogd T2-signaal met aanliggend wekedelen- en beenmergoedeem. Rechts toont het pseudo-CT-beeld het hielspoor beter.
  • karakterisatie van andere botletsels

In een aantal gevallen voegen deze beelden complementaire informatie toe aan het standaard MRI-onderzoek zonder dat een bijkomend CT-onderzoek nodig is, zodat onnodige bestraling van de patiënt kan vermeden worden.

Meerwaarde voor de patiënt

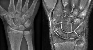
Op onderstaande figuur is zichtbaar hoe de radiografie (links) geen fracturen toont. De coronale T2-gewogen opname met vetonderdrukking toont daarentegen meerdere zones van beenmergoedeem, passend bij spongiosafracturen in de carpalen en metacarpalen. Deze MRI-bevindingen verklaren de aanhoudende last ondanks een normale radiografie.

Het toestel draagt bovendien bij aan het comfort van de patiënt. “Door een verbeterde contrast- en ruimtelijke resolutie kan de MRI kleine letsels van het labrum van de heup in het licht stellen, zonder dat hiervoor een intra-articulaire injectie met contrast nodig is”, vult prof. dr. Filip Vanhoenacker  aan.

MRI met meerdere zones van beenmergoedeem, passend bij spongiosafracturen in de carpalen en metacarpalen

Echogeleide infiltraties in of rond gewrichten en pezen

Filip Van Kerkhove

AZ Sint-Maarten breidde uit met een bijkomende echografiezaal om beter in te spelen op de zorgbehoeften en de wachttijden in te korten. “De dienst medische beeldvorming beschikt nu over vier echokamers met hoogperformante apparatuur die detailanalyse van kleine structuren zoals perifere zenuwen en ligamenten mogelijk maakt”, vult dr. Filip Van Kerkhove aan. 

In deze echografiezalen vinden ook echogeleide infiltraties plaats. “Dat zijn injecties onder echografische begeleiding waarmee de radioloog de exacte plaats van de inspuiting nauwkeurig bepaalt”, verduidelijkt dr. Filip Van Kerkhove aan. “Dit verhoogt de doeltreffendheid en veiligheid van de behandeling aanzienlijk.”

“Naast een therapeutische rol spelen de infiltraties ook een rol bij de diagnose. Als er meerdere mogelijke pijnbronnen zijn, dan helpt een gerichte infiltratie bepalen of de vermoedelijke pijnuitlokkende structuur de oorzaak is van de klachten. Positieve respons na injectie bevestigt immers de betrokkenheid van die specifieke structuur bij de pijnklachten.”

Indicaties

Deze techniek kan toegepast worden bij intra-articulaire, intrabursale of peritendineuze infiltraties en is een waardevol alternatief bij falen van andere conservatieve behandelingen zoals rust, kinesitherapie en niet-steroïde anti-inflammatoire medicatie (NSAID).

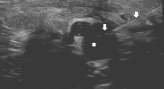
Echogeleide percutane punctie van een arthrosynoviale cyste (asterisk) aan de binnenenkel, verantwoordelijk voor een tarsaal tunnel syndroom

Echogeleide percutane punctie van een arthrosynoviale cyste (asterisk) aan de binnenenkel, verantwoordelijk voor een tarsaal tunnel syndroom. De naald is aangeduid met pijlen.

PedCAT

Frederick Catry

Dankzij haar unieke eigenschappen genereert de pedCAT Premium nauwkeurigere beelden voor diagnoses, preoperatieve planning of postoperatieve evaluatie van de voet of enkel. “De staande Cone Beam CT (CBCT) van enkels en voeten is een geavanceerde beeldvormingstechniek waarbij de patiënt rechtop staat”, weet dr. Frederick Catry. “Het onderzoek laat toe de enkels en voeten onder volledige gewichtsbelasting te beoordelen, wat een belangrijk voordeel is ten opzichte van klassieke CT of conventionele radiografie, vaak in liggende of niet-gewichtdragende positie. Het laat toe om een meer realistisch beeld te bekomen van de enkel- en voetstand, gewrichtsverhoudingen en eventuele andere afwijkingen. Het toestel maakt in meerdere seconden een 3D-beeld in hoge resolutie met een zeer lage stralingsdosis.” 

Indicaties

Indicaties zijn onder meer vermoeden van ligamentaire letsels, preoperatieve planning of postoperatieve beoordeling bij statiekafwijkingen of evaluatie van andere afwijkingen onder belasting. 
 

Letsel van de syndesmose, zichtbaar via PedCAT

Het beeld toont de verbreding van de ruimte tussen tibia en fibula links na enkelverstuiking met blijvende klachten suggestief voor laxiteit. Deze diastase is een indirect argument voor een letsel van de syndesmose, vaak een moeilijke klinische diagnose.

Praktisch

  • MRI, PedCAT en echografie zijn enkel mogelijk op afspraak via tel. 015 89 10 11. 
  • Voor de aanvragende arts is het belangrijk om een zo gericht mogelijke indicatiestelling te formuleren voor een zo correct mogelijke en relevante diagnose.

Expertise en innovatie gaan hand in hand

Dr. Frederick Catry, dr. Kristof De Cuyper, dr. Filip Van Kerkhove en prof. dr. Filip Vanhoenacker staan samen met hun team garant voor de voortdurende vernieuwing binnen de musculoskeletale radiologie. Ze volgen technologische evoluties op de voet en zorgen ervoor dat deze patiëntgericht worden ingezet. 

Het artsenteam werkt nauw samen met andere disciplines om technieken in te bedden in een multidisciplinaire aanpak. Ze bedanken ook alle medewerkers van de dienst medische beeldvorming voor hun bijzondere inzet en professionaliteit die belangrijk zijn voor het garanderen van een kwalitatief en patiëntgericht proces. 

Team medische beeldvorming aan gevel AZ Sint-Maarten