Overslaan en naar de inhoud gaan

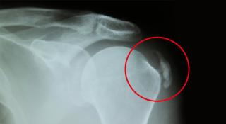
Verkalking van de schouder wordt veroorzaakt door een ontsteking in één of meerdere rotator cuff pezen. De rotator cuff bestaat uit vier spieren die rond het schoudergewricht lopen en via pezen zijn vastgehecht aan de kop van de ‘bol’ van het schoudergewricht.

Wanneer deze pezen ontsteken, komt er kalk vrij wat na een tijdje tot een ophoping van kalk kan leiden. Dit kan erg pijnlijk zijn.

Op deze pagina vind je meer informatie over:

Wat zijn de symptomen van verkalking van de schouder?

Terug naar boven

  • pijn in de schouder die mogelijk uitstraalt naar de bovenarm
  • zeurende pijn, die na verloop van tijd erger wordt

De kalk kan in kleine beetjes vrijkomen in de slijmbeurs en een hevige ontsteking veroorzaken, wat erg pijnlijk is.

Hoe wordt verkalking van de schouder behandeld?

Terug naar boven

Behandeling zonder operatie

De eerste stap in de behandeling van verkalking van de schouder, is warmte en pijnverlichtende kinesitherapie. Ook pijnstillende medicatie en infiltraties in de schouder kunnen helpen.

Een andere mogelijkheid is ESWT (extra corporiële shock wave therapy): hierbij gebruikt de kinesist een toestelletje dat krachtige schokgolven uitstuurt, waardoor de verkalking verbrijzeld wordt. Dit is een niet-invasieve ingreep waarvoor geen verdoving nodig is.

Operatieve behandeling

Bij een operatieve behandeling verwijdert de arts de kalk via een kijkoperatie. De ingreep verloopt onder algemene verdoving.

Wat na de operatie?

Terug naar boven

Na de operatie blijft er een ‘wonde’ in de pees achter, waardoor het genezingsproces verschillende maanden kan duren. Gedurende die tijd kan je ook nog pijn hebben.

Het is belangrijk om na de operatie te revalideren met de hulp van een kinesist. Tijdens de revalidatie wordt er gewerkt aan de beweeglijkheid van de schouder.

Ook wordt aangeraden om meerdere keren per dag de schouder in alle richtingen te stretchen.